当前位置:肿瘤瞭望>百家>病例>正文

例例在目丨一线方案!舒尼替尼单药方案为低危晚期肾癌患者带来生存获益

作者:肿瘤瞭望   日期:2025/2/26 11:23:44  浏览量:8918

肿瘤瞭望版权所有,谢绝任何形式转载,侵犯版权者必予法律追究。

肾癌是我国常见恶性肿瘤之一,其中最常见的组织类型为肾透明细胞癌。一线治疗目前多依据国际转移性肾细胞癌数据库联盟预后风险(IMDC)等临床特征进行分层治疗,包括抗血管治疗、抗血管联合免疫治疗、双免等多个治疗方案,而后线治疗多根据一线治疗方案组成、有效性和安全性进行药物选择[1]。本期病例分享了一例低危RCC患者术后的多阶段治疗策略,以期为临床实践提供更多思考。

编者按:肾癌是我国常见恶性肿瘤之一,其中最常见的组织类型为肾透明细胞癌。一线治疗目前多依据国际转移性肾细胞癌数据库联盟预后风险(IMDC)等临床特征进行分层治疗,包括抗血管治疗、抗血管联合免疫治疗、双免等多个治疗方案,而后线治疗多根据一线治疗方案组成、有效性和安全性进行药物选择[1]。本期病例分享了一例低危RCC患者术后的多阶段治疗策略,以期为临床实践提供更多思考。
 
晚期肾癌综合治疗病例分享
 
病例汇报:叶鹏教授辽宁省肿瘤医院泌尿外科
病例点评:
穆中一教授辽宁省肿瘤医院泌尿外科
胡滨教授辽宁省肿瘤医院泌尿外科
 
叶鹏医学博士
辽宁省肿瘤医院泌尿外科
副主任医师
日本弘前大学大学院医学研究科助教
日本弘前大学大学院分子生物教研室博士后
 
病例介绍
 
患者基本信息
 
男,54岁,左肾上极7.2 cm
 
TNM分期:T2N0M0,II期
 
病理:透明细胞癌,Fuhrman II级
 
第一阶段:手术治疗
 
2012.08行后腹腔镜根治性左肾切除术
 
2013年行腹腔镜直乙交接肿瘤切除术,其余未见异常
 
2018.02持续性胸部疼痛
 
2018.03 PET-CT提示多发肺转移,肋骨转移
 
2018.03.22胸壁穿刺显示转移性癌,考虑肾来源
 
诊断为T2N0M1,IV期,IMDC低危
 
疗效:PFS为5.5年。患者体力良好,生活质量良好。
 
(患者术后5.5年出现转移性肿瘤)
 
第二阶段:靶向治疗同步放疗
 
2018.03.22舒尼替尼50 mg QD。肋骨肿瘤注射唑来膦酸3周1次(共3次),同步放疗3 Gy(共10次)。
 
2018.03.24由于患者出现不良反应,调整剂量为37.5 mg QD。
 
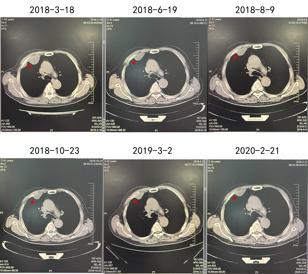
疗效:肋骨病灶疾病稳定(2年),肺部病灶部分缓解(2年)。
 
(舒尼替尼单药联合放疗,肋骨病灶实现SD)
 
(舒尼替尼单药联合放疗,肺转移病灶实现PR)
 
(治疗停滞1年,患者对侧肾上腺肿瘤发生进展)
 
第三阶段:靶免联合+射波刀
 
2021.03阿昔替尼5mg BD+帕博利珠单抗200 mg+射波刀
 
疗效:肺部病灶疾病稳定(4年)。对侧肾上腺病灶部分缓解(4年)。
 
(射波刀治疗)
 
病例小结
 
该例患者诊断为左肾透明细胞癌,T2N0M0,术后5.5年复发,伴肋骨转移、肺转移和胸壁转移。结合循证医学证据及中国临床肿瘤学会(CSCO)肾癌诊疗指南对低危患者推荐,优先使用舒尼替尼进行一线治疗,患者出现不耐受情况,调整剂量后肺部病灶获得部分缓解,肋骨病灶疾病稳定,PFS 2年。后续进展可考虑其他治疗方案。
 
专家点评
 
穆中一教授:该例患者诊断为肾细胞癌后行根治性肾切除术,但在5.5年后出现转移。对于存在转移的IMDC低危患者,2024版中国临床肿瘤学会(CSCO)肾癌诊疗指南将以舒尼替尼为代表的TKI药物作为一线治疗的I级推荐[2]。该推荐基于多项研究,包括一项国际、多中心、随机对照、III期研究纳入了750例转移性肾细胞癌患者,评价了舒尼替尼对比IFN-α一线治疗的有效性和安全性[3],结果显示舒尼替尼治疗组的PFS达11个月,OS达26.4个月,ORR达53%,均优于对照组。
 
(舒尼替尼对比IFN-α一线治疗低危RCC患者的PFS、PS和ORR)
 
此外,CheckMate 214研究随访42个月的结果显示,对于IMDC低危人群,舒尼替尼的ORR(54%vs.29%)、中位PFS(27.7个月vs.17.8个月)和42个月OS率(73%vs.70%)均优于双免治疗方案。KEYNOTE-426研究也表明,TKI单药疗效与免疫联合TKI相当,组间差异性并不明显。因而,舒尼替尼成为该例患者的优选方案之一。事实也证明,舒尼替尼单药治疗能够使患者的肋骨肿瘤实现SD,同时肺部病灶获得PR。
 
胡滨教授:目前对于低危患者,特别是远端转移灶瘤负荷较小的患者,仍推荐TKI单药治疗作为一线首选。舒尼替尼在真实世界中应用于晚期RCC患者的ORR为16%~40%,中位PFS为8.1~10.4个月,中位OS为22.3~34.0个月。改良的舒尼替尼2/1方案(50 mg/d,用药2周、停药1周)可显著降低不良反应发生率、提高患者耐受性,同时提高ORR、延长患者PFS。对于TKI引起的不良反应,我国《晚期肾透明细胞癌系统性治疗中国专家共识(2024版)》首先推荐进行TKI减量处理,而非更换TKI[1]。该例患者仍不耐受50 mg/d方案,实际临床过程中进一步降低了舒尼替尼剂量,结果表明该治疗策略在降低不良反应的同时,也具有良好的肿瘤控制效果。
 
由于患者中间治疗停滞一年,可能导致了肿瘤的进一步发展,因而需要针对对侧肾上腺肿瘤进行治疗。对于一线TKI单药治疗后进展的患者,目前多推荐更改为以ICI为基础的靶免联合治疗方案。而对于靶免联合治疗后进展的患者,需要充分考虑患者危险因素与危险分层、药物疗效与耐受性,综合选择治疗方案。
 
▌参考文献:
 
[1].晚期肾透明细胞癌系统性治疗中国专家共识专家组,中国临床肿瘤学会肾癌专家委员会,中国抗癌协会泌尿系统肿瘤专业委员会.晚期肾透明细胞癌系统性治疗中国专家共识(2024版)[J].中华肿瘤杂志,2024,46(9):844-854.
 
[2].中国临床肿瘤学会(CSCO)指南工作委员会.CSCO肾癌诊疗指南(2024).人民卫生出版社
 
[3].Motzer R J,Hutson T E,Tomczak P,et al.Overall survival and updated results for sunitinib compared with interferon alfa in patients with metastatic renal cell carcinoma[J].Journal of clinical oncology,2009,27(22):3584-3590.
 
点评专家简介
 
穆中一教授
辽宁省肿瘤医院(大连理工大学附属肿瘤医院)泌尿外科
主任医师,医学博士,硕士研究生导师
中国抗癌协会泌尿生殖肿瘤整合康复专委会委员
中国抗癌协会泌尿生殖肿瘤专委会微创学组委员
辽宁省抗癌协会泌尿生殖肿瘤专委会委员
辽宁省肾癌规范化诊疗质控专委会委员
辽宁省医学会泌尿外科分会青委会委员
辽宁省细胞生物学会医用高分子与细胞生物学专委会副主任委员
辽宁省生命科学学会泌尿生殖肿瘤诊治与康复专业委员会常委兼秘书
辽宁省中西医结合学会男科专委会委员
辽宁省细胞生物学会先进医工融合技术专委会理事
《现代泌尿外科杂志》编委
主持课题7项,编写专业丛书1部(副主编),发明专利2项,以第一作者发表SCI文章6篇
 
胡滨教授
主任医师,博士,博士研究生导师
辽宁省肿瘤医院泌尿外科主任及泌尿外科教研室主任
辽宁省抗癌协会泌尿肿瘤专业委员会候任主任委员
中国抗癌协会泌尿及男生殖肿瘤专委会常委
辽宁省医学会男科学分会副主任委员
辽宁省医学会泌尿外科分会常委
辽宁省生命科学学会泌尿生殖肿瘤诊治与康复专业委员会主任委员
CSCO前列腺癌专家委员会委员
CSCO尿路上皮癌专家委员会委员
CSCO肾癌专家委员会委员
中国前列腺癌联盟(CPCC)委员
中国医师协会泌尿外科分会肿瘤学组委员
中国TSC-AML协作组委员

本内容仅供医学专业人士参考


肾癌

分享到: 更多