当前位置:肿瘤瞭望>资讯>正文

例精图治丨转危为安,精准用药,一例HER2阳性晚期胃癌患者os已达到28个月

作者:肿瘤瞭望   日期:2020/10/10 12:18:09  浏览量:19632

肿瘤瞭望版权所有,谢绝任何形式转载,侵犯版权者必予法律追究。

编者按:本期例精图治中,来自天津医科大学肿瘤医院的刘勇医生为我们介绍了一例初诊Ⅲ-Ⅳ期HER2阳性胃癌并伴有腹腔淋巴结广泛转移、幽门梗阻、贫血、低蛋白血症的患者,经MDT讨论后行姑息性手术治疗,术后给予曲妥珠单抗联合化疗,OS达到28个月。该病例提示,对于局部晚期胃癌患者仅行单纯手术往往伴随着术后高复发风险,可通过术后辅助化疗使患者实现生存获益,HER2阳性患者辅助治疗方案可参考晚期一线治疗的抗HER2方案。

病例报告:刘勇 天津医科大学肿瘤医院

病例点评:付蔚华 天津医科大学总医院

 

病例介绍

 

 

患者岳XX,男,72岁;身高160cm,体重42Kg。2018-4-2主因“上腹不适伴进食差三月余”入院。既往体健,无高血压、糖尿病、冠心病等病史。

 

辅助检查:

 

外院胃镜:胃低、体粘膜不光滑,可见大量食物附着,胃体可见巨大不规则占位性病变,延伸至胃角,无法继续进镜,质硬、易出血。咬检病理:(胃体粘膜)局灶腺体轻-中度非典型增生,建议再取材。

 

腹盆腔CT:胃内大量内容物,胃窦部壁明显增厚,肝实质内致密影,少量盆腔积液。

 

我院复查胃镜:胃体上部-胃窦可见溃疡浸润肿物生长,病变下极达幽门口,并致幽门狭窄。咬检病理:(胃体-胃窦)腺癌,中分化。

 

B超示:胃体及胃窦部壁弥漫性增厚—考虑胃癌,伴周围及腹膜后多发肿大淋巴结,上腹网膜增厚,肝右页钙化灶,前列前增生,右小腿肌间静脉内血栓形成。

 

腹盆腔强化CT(2018-4-4):1、胃体及胃窦胃壁增厚,考虑胃癌;2、胃周、胃左动脉区及腹膜后多发肿大淋巴结,考虑转移;3、肝内胆管结石,肝内胆管轻度扩张;4、左肾囊肿,左肾上腺增厚,考虑增生;5、前列腺增生伴钙化;6、盆腔少量积液;7、两下肺实变索条,左侧胸腔少量积液。

 

 

表1实验室检查 2018-4-4

 

表2:肿瘤标志物检查 2018-4-3


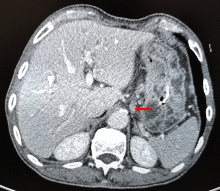
图1-1  2018-4-4  箭头为胃周肿大淋巴结

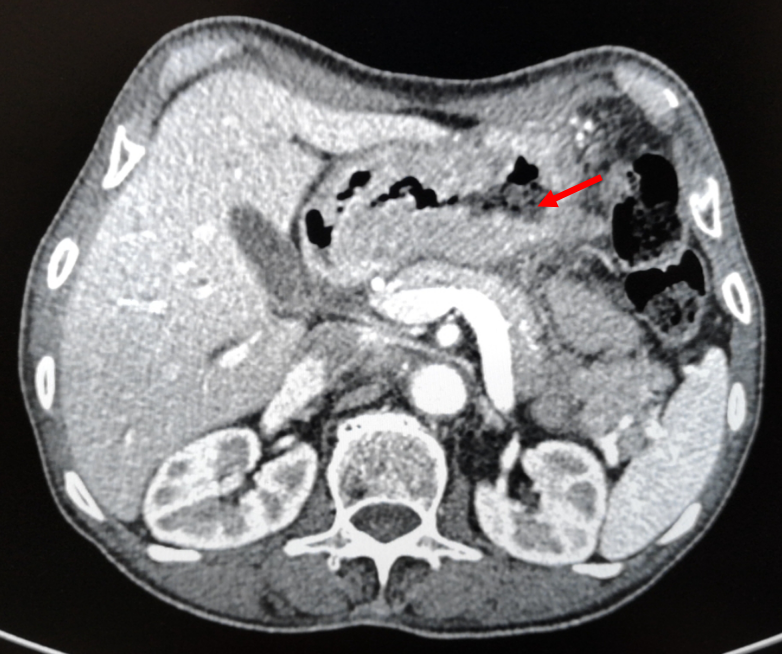
图1-2 2018-4-4 箭头为胃部肿瘤,胃壁增厚明显

 

 

入院诊断:胃癌(cT4N+MX)Ⅲ-Ⅳ期

 

入院治疗

 

阶段-1:MDT-1讨论

 

考虑患者幽门梗阻、贫血、低蛋白血症;先予留置胃管,胃肠减压;浓盐水洗胃,减轻胃壁水肿;全肠外静脉营养支持(TPN);补充白蛋白;抑酸、止血、输血对症治疗。请相关科室会诊,除外手术禁忌。决定行开腹探查术,建立肠内营养通路;争取解决梗阻和出血问题。

 

治疗及评估

 

手术:于2018-4-11行全胃切除(结肠前R-Y吻合)+大网膜切除+胃周淋巴结清扫+食管空肠吻合+空肠侧侧吻合术。

 

术中见肿物位于胃体下部近小弯处,巨大浸润溃疡肿物,侵出浆膜,累犯横结肠系膜和胰头部胰腺被膜;胃周可见多发明显肿大淋巴结。

 

术后病理:(胃)中分化管状乳头状腺癌伴低分化管状腺癌(Lauren分型:肠型),侵出浆膜,脉管内可见癌栓,上、下切端(﹣),区域淋巴结可见癌转移(40/95),分组如下:

 

1区12/15,2区软组织(﹣),3A区3/4,3B区2/2,4SA区软组织(﹣),4SB区1/1,4D区17/25、软组织(+),5区0/1, 6区2/10,7区0/11,8A区1/7,9区0/8,10区1/3,12A区0/1,19区软组织(﹣),20区0/4,淋巴结旁0/2,肿物周围1/1。

 

免疫组化:HER2(3+) CK8/18(+),Ki-67(70%+),CK7(-),LCA(-),CgA(-),Syn(-)。

 

病理诊断:胃癌(pT4bN3bMX)ⅢC期

 

术后予抗炎、补液、营养支持治疗,患者伤口愈合良好,术后12日顺利出院。

 

阶段-2:MDT-2讨论

 

患者2018-5-17再入院,术后病理提示淋巴结转移较多,不除外存在肿瘤残留;考虑患者HER2(3+);建议予XELOX化疗,联合曲妥珠单抗靶向治疗。

 

具体方案:L-OHP 150mg i.v. D1,卡培他滨 1.0g p.o. B.i.d D1-14,曲妥珠单抗352mg (首次)i.v.D1。

 

分别于2018-6-9、208-6-29、2018-7-26、2018-8-23、2018-10-5、2018-11-2、2018-11-29再入院化疗。

 

具体方案:L-OHP 150mg i.v. D1,卡培他滨 1.0g p.o. B.i.d D1-14,曲妥珠单抗 264mg i.v.D1。

 

2018-12-22再入院,予卡培他滨 1.0g p.o. B.i.d D1-14,曲妥珠单抗 264mg i.v.D1。

 

化疗期间,曾有Ⅲ-Ⅳ度骨髓抑制,白细胞减少,贫血严重,予对症处理后好转。

 

化疗期间复查心电图、超声心动图未见明显异常。

 

术后复查:

 

上腹+盆腔增强CT( 2018.5.21 ):“胃癌术后”改变,定期复查。其余与2018.4.4日术前CT片比较:盆腔积液增多,其余未见明显变化。

 

上腹+盆腔增强CT( 2018-8-24 ) :

 

与2018.5.21腹盆片比较,腹盆腔积液较前增多;胆囊壁稍厚,考虑炎症性改变;腹膜后散在小淋巴结,右侧胸腔少量积液;余无著变。

 

上腹+盆腔增强CT( 2018-12-24 ) :

 

与2018.8.24腹盆CT片比较:腹盆腔积液较前减少;双肺下叶斑片状浸润影,考虑炎性病变,请结合临床及胸部检查;余无著变。

 

 

单药口服卡培他滨至2019-4

 

上腹+盆腔增强CT( 2019-4-22 ) :

 

与2018.12.24腹盆片比较,双肺下叶实变索条及浸润影较前吸收;双侧胸腔积液较前减少;双侧胸膜增厚较前减轻;余无著变。

 

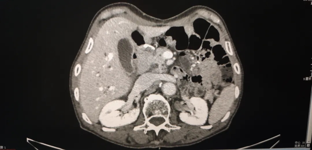
上腹+盆腔增强CT( 2019-11-25 ):

 

与2019.4.22腹盆CT片比较:肝内胆管扩张较前明显,请结合临床。

 

 

阶段3:随访中

 

2020-4增强CT:与2019.11.25腹盆片比较,整体未见明显变化。

 

 

2020.4腹盆CT

 

 

2019-11 腹盆CT

 

 

病例总结

 

本病例患者为晚期胃癌,合并幽门梗阻、贫血、低蛋白血症;手术切除局部病灶短期生活质量会获益。HER2阳性胃癌,化疗联合曲妥珠单抗靶向治疗,达到病情稳定,生存获益,OS达到28个月。

?

专家点评

 

本例为胃癌晚期患者腹腔淋巴结广泛转移,合并幽门梗阻,同时还存在贫血、低蛋白血症。在这种情况下,为了解决幽门梗阻以改善进食,纠正慢性失血性贫血,提高患者生活质量,而行姑息性手术治疗是有指征的。

 

该病人术后病理诊断:胃癌(pT4bN3bMX)ⅢC期, HER2(3+)。经过MDT讨论决定给予化疗联合靶向治疗,符合晚期转移性胃癌的治疗原则。7个周期的曲妥珠单抗联合XELOX化疗,1个周期的曲妥珠单抗联合卡培他滨单药化疗,之后给予卡培他滨单药维持治疗。经过密切随访,患者目前处于术后稳定状态。总体来说治疗效果还是很不错的。

 

对于进展期胃癌患者,仅行单纯手术往往伴随着术后高复发风险,患者预后较差,可通过术后辅助化疗来提高PFS和OS。常用辅助化疗方案XELOX、S-1方案,其有效性已得到多个研究证实。但越来越多的研究展示Ⅲ期胃癌的辅助治疗,双药显现出个更好的效果。但目前对于病期晚的转移性胃癌的姑息手术后的综合治疗方案选择还有争议。笔者认为应参考晚期转移性胃癌的治疗方案进行选择。本例患者术后病理回报HER2(3+),因此选择曲妥珠单抗靶向治疗联合XELOX化疗。

 

在靶向治疗方面,HER2通路在晚期胃癌靶向治疗中最先被突破,曲妥珠单抗联合化疗显著提高了HER2阳性晚期转移性胃癌的治疗缓解率和总体生存率。TOGA研究是第一个使用HER2抑制剂曲妥珠单抗治疗不能手术的局部晚期、复发或转移的HER2阳性胃癌患者的Ⅲ期临床研究。TOGA研究结果显示在IHC2+/FISH阳性或者IHC3+的患者与对照组相比,OS分别为16.0个月和11.8个月(HR为0.65)。基于此项研究,曲妥珠单抗成为2019版NCCN指南推荐的用于晚期胃癌的第一个靶向治疗药物。

 

另外,2019年ASCO公布了在我国开展的曲妥珠单抗治疗胃癌的回顾性真实世界研究(EVIDENCE研究),我们参与其中提供了数据。结果显示在中国最常用的联合方案是曲妥珠单抗联合XELOX方案,疗效最佳,中位OS达到34.6个月,且毒性最低。

 

同时,该病例也是在MDT诊疗模式下,通过各学科专家协作,经讨论后做出准确分期、个体化、精准的全程诊疗方案对于病人获得满意的生存期是有益的。MDT诊疗在胃癌临床诊疗中,特别对于晚期胃癌患者,必将发挥重要作用。

 

 

病例汇报者简介


 

 

刘勇

天津医科大学肿瘤医院胃部肿瘤科

医学博士、副主任医师

中华全科医师学会全国贲门癌专业委员会全国委员

天津市中西医结合学会临床营养治疗专业委员会委员

中国医师协会外科医师分会肿瘤外科专科医师委员会会员

中国抗癌协会会员

中华医学会会员

 

 

 

病例点评专家简介


 

 

付蔚华

天津医科大学总医院胃肠外科教授,主任医师,博士研究生导师

中华医学会外科学分会青年委员

中国医师协会外科医师分会肿瘤外科医师委员会青年委员

中国医师协会内镜医师分会腹腔镜外科专委会青年委员

中国研究型医院学会微创外科专业委员会委员

天津市医学会外科学分会青年委员

天津市医学会外科学分会胃肠学组委员、秘书

天津市医师协会普通外科医师分会微创外科专委会常委

天津市医师协会内镜医师分会常委

天津市抗癌协会肿瘤微创外科专业委员会常委

教育部学位与研究生教育发展中心博硕士学位论文抽检评审专家

 


 

本内容仅供医学专业人士参考


HER2阳性晚期胃癌

分享到: 更多