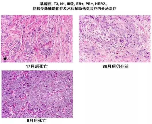
以下是一组来自国外的研究,从临床分期来讲,均属于T3N1,ER+,HER2-乳腺癌患者,三名患者均接收新辅助化疗及术后辅助他莫昔芬内分泌治疗,但存活时间却迥然不同,那要如何解释这种现象呢??

要解开谜底,我们需要了解乳腺癌多基因表达谱的检测。多基因检测就是采用多个与乳腺癌复发风险高低有关的基因检测结果,结合数据库生物信息分析等技术方法,对乳腺癌患者进行综合评估与预测。
多基因表达谱的检测,名字看起来晦涩难懂,可以通过一个具体形象的了解:例如高考是我们人生面临的第一次重大事件,那么作为家长或老师,如何预测学生能不能考上大学?很重要的一个参考就是平时的模拟考试。
那每一个人我们把一个基因比作一次模拟考,一次模拟考的成绩对于高考的预测可能不准,我们总说一次考试代表不了什么,那么多搞几次模拟考,综合这些考试的成绩来分析,就对考生的能力以及高考成绩的预估更加正确。
同样的,一个基因无法决定预后,那么用几个甚至几十个基因一起去预测,对于癌症患者的预后或者治疗方式的选择就有一定的指导意义了,这就是多基因检测的意义和应用特点。
那多基因检测如何帮助预测评估患者预后及治疗方案呢?同样以高考为例,你的每次模拟考成绩会跟几千个参加此套试题模拟考的考生做比较,你可以更清晰的定位你在所有考生中的排名情况,以预测高考趋势及如何报考志愿等。
多基因检测同样需要将患者检测数据,放到已收集几千名乳腺癌患者基因检测信息的数据库中进行比对分析,以帮助更好的预测判断检测患者预后及治疗方案选择。
总体上,多基因表达谱主要可以帮助患者解决以下三个问题:
我是哪一类乳腺癌?
我是否需要化疗?
我什么时间可以(内分泌治疗)停药?
目前,市场上主要的多基因表达谱检测产品有Oncotype DX21基因、MammaPrint70基因、PAM50基因、8基因内分泌预测(EP)、7基因乳腺癌指数(BCI)、乳腺癌72基因检测等。下面就结合各自特点逐一介绍。
乳腺癌是一个高度异质性的疾病,即使临床分期和病理级别完全相同,患者对治疗的反应和预后也是不同的,多基因检测可以辅助对乳腺癌进行分型。目前可以进行分子分型的多基因检测有PAM50基因和乳腺癌72基因检测。
2000年左右,美国医学科学家通过全基因表达谱,把浸润性乳腺癌(主要是浸润性导管癌)分成5个独立亚型:Luminal A、Luminal B、HER2过表达、基底细胞样,以及Normal-like。每个亚型各自有独特发病率、生存率和治疗敏感性。
2009年美国北卡罗来纳大学癌症研究中心乳腺癌项目及生物信息学主任Perou教授与Nanostring公司合作,推出了PAM50产品,可以对乳腺癌分为4个亚型。
一般来说luminal A型的乳腺癌可以说是预后最好的乳腺癌了,激素受体阳性使得我们有机会使用内分泌药物进行治疗,此外Ki-67低表达也就提示着肿瘤细胞的增殖处在相对较低的水平,这同样也意味着更好的预后。
luminal B型的乳腺癌相较于luminal A型来说预后更差,其HER2阳性和(或)Ki-67高表达提示着不良的预后,HER2阳性的患者需要靶向治疗。
HER2过表达型,不适合用内分泌治疗,靶向治疗的有效应用是重中之重。
对于三阴性乳腺癌,普遍的印象是此类乳腺癌预后很差。之所以称为三阴性乳腺癌,是激素受体和HER2均为阴性,对内分泌药物治疗和靶向治疗均不适用,主要通过化疗进行全身治疗,其五年的总体生存率约77%。
基因分子分型固然好,但是全基因表达谱同时测定了几千个基因,不管是数据分析还是现实实施,难度都非常高,经济负担也很重。因此,2011年St Gallen大会达成共识采用免疫组织化学法(IHC)测定的分子标记作为不同亚型的区分方法,以取代全基因表达谱。
利用4个免疫组化标记区分4亚型,有优点也有缺点,优点是简单、方便、标准化、易于推广、接受度高。缺点是由最初包含几千个基因的表达谱芯片确立的4个亚型,最终简化为仅由4个指标来决定,比较粗糙、准确度欠缺。
文章开头提到的三位患者,通过多基因分子分型可以给出很好的解答,三位患者虽然临床分期完全一致,但多基因检测确是不同的分子分型。

注:LuminalB亚型病人存活时间最短,存活时间为9个月;Basal-like亚型次之,存活时间为17个月;Luminal亚型存活情况最好,96月后仍存活。研究发现不同分子亚型,其存活率存在明显差异。
PAM50目前在国内还鲜有机构实施,原研产品在美国。2019年绿叶诊断推出乳腺癌72基因检测,很好的填补了多基因检测分子分型无国内应用的空白。
乳腺癌72基因检测,通过NGS方法,检测肿瘤组织中包括增殖、激素受体(ER/PR)、表皮生长因子受体(HER2)、免疫及基底细胞相关基因的表达,对比中国人群数据库,通过特定的生物信息算法,同时自动出具乳腺癌分子分型、免疫指数、增殖指数及复发风险评分。
虽然多基因检测在发达国家已经较普遍地在临床应用,但真正结合中国乳腺癌人群数据库,适合于中国乳腺癌患者的多基因检测产品较少。“乳腺癌72基因”,针对中国人群数据为基础进行建模,并经过AFFY1951、METABRIC、TCGA、TARGETSEQ数据库分析验证,在复发风险评估基础上,进一步实现多基因分子分型和肿瘤局部免疫活化状态的指示功能。
期待更多72基因相关的临床试验完美收官,带来更多惊喜的中国数据。
ER阳性乳腺癌占所有乳腺癌的70%左右,此型乳腺癌患者的辅助治疗中,内分泌治疗占主导地位,而是否需要辅助化疗有时存在争议。因此,医学科学家开发了基因检测,以判断哪些患者从辅助化疗中真正获益。
目前国际上公认的指导化疗决策的两个基因检测工具是 Oncotype DX 21基因和 MammaPrint 70基因。
Oncotype DX 21基因是由美国开发的,21基因检测多针对ER阳性、HER2阴性、淋巴结阴性的早期乳腺癌患者。检测会给出一个复发评分(RS),以代表肿瘤患者的复发风险。低风险组仅接受内分泌治疗而避免化疗。

OncotypeDX21基因的RS评分界值一直在演变。初始研究利用NSABP B20筛选多基因panel(RS 18/31)在内分泌治疗背景下(单用TAM治疗臂)预测远端复发风险(prognostic)。随后,OncotypeDX在NSABP B14和B20验证发现RS 11分以下单用内分泌治疗具有较低的复发率(95%的置信区间上限低于10%),B20则提示RS 26~30分依然可能有化疗获益(包括局部复发)。为了不低估化疗获益人群,TAILORx将研究界值设置在11和25分。其结果基本验证了26分以下化疗获益有限的结论,同时也补足了RS评分与化疗获益相关,21基因具有预测疗效(predictive)的证据。
目前,OncotypeDX 21基因,原研产品在美国,国内众多21基因产品质量和性能等还是良莠不齐的。
是欧洲开发的由70个基因组成的风险预测模型。该模型对淋巴结阴性与1-3枚淋巴结阳性的ER阳性、HER2阴性患者,均可实施。

2016年新英格兰医学杂志(NEJM)报道了该研究的首要终点,在临床高风险/基因低风险组中,化疗组相较于不化疗组5年DMFS获益仅增加1.5%,同时还需考虑辅助化疗的有害影响。因此,70基因工具对高临床风险患者具有规避化疗的价值。
大多数情况下,ER阳性患者接受5年内分泌治疗就“达标”了;但是,我们依然会看到一小部分患者在5年治疗结束停药后,仍出现复发转移,提示可能某些患者延长治疗才是合理的。
那么,是哪些患者呢?单纯按照临床指标很难准确判断,研究者由此开发了一些基因检测工具,用于指导内分泌治疗时长。
EndoPredict(EP)针对于 ER阳性、HER2阴性乳腺癌患者 的复发风险预测模型,检测12个和复发转移相关基因的表达水平,以计算基因决定的风险(EP部分),然后结合患者的肿瘤大小和淋巴结状况(Clin部分),最后得到综合评分(即EP Clin),能预测长达10年的复发风险,指导5年后的内分泌治疗。
Breast Cancer Index(BCI)可以用来预测近期(<5年)和远期(≥5年)的复发风险,指导延长内分泌治疗。
目前,不管是EP Clin还是BCI工具,原研产品在美国,还不能直接检测。
综上,乳腺癌诊疗已经进入精准时代,乳腺癌的临床诊疗不再是依据医师的“临床经验”,或者像“熟练工人生产合格产品”一样,千篇一律采用一种治疗方法,而是采用科学的有针对性的“个体化治疗方案”。多基因检测通过分子分型、复发风险评估等辅助精准诊断,化疗获益评估、内分泌治疗获益评估等辅助精准治疗。
贵州医科大学附属医院乳腺外科
主任医师, 硕士生导师
医学博士,医学美容主诊医生,国家级二级心理咨询师
中国临床肿瘤协会(CSCO)乳腺专业委员会委员
中国抗癌协会乳腺癌(CBCS)专业委员会青年委员
中国医师协会肿瘤分会乳腺癌学组委员
中国医药教育协会乳腺疾病专业委员会委员暨乳腺癌多学科诊疗学组常委
中国医疗保健国际交流促进会乳腺疾病分会委员
中国妇幼保健协会乳腺病专业委员会常委
长江学术带乳腺联盟副主任委员
北京癌症防治协会乳腺癌专业委员会青年委员
贵州省抗癌协会乳腺癌专委会副主任委员
贵州省抗癌协会乳腺癌专委会青委会副主任委员兼秘书
贵州省乳腺疾病专科联盟副理事长兼秘书长
贵州省整形美容协会乳腺整形分会副主任委员
贵州省健康管理协会常务理事