当前位置:肿瘤瞭望>资讯>正文

优化选择,小肿瘤治疗探讨:一例HER2阳性乳腺癌术后治疗的病例分享

作者:肿瘤瞭望   日期:2022/10/8 16:20:43  浏览量:11624

肿瘤瞭望版权所有,谢绝任何形式转载,侵犯版权者必予法律追究。

回顾性数据表明,淋巴结阴性的HER2阳性小肿瘤乳腺癌患者的复发率在5%到30%之间。曲妥珠单抗的问世极大的改善了HER2阳性乳腺癌患者的预后和生存。

▌病例作者:程敏医生武汉市普仁医院
▌点评专家:刘春萍教授华中科技大学同济医学院附属协和医院
 
编者按:回顾性数据表明,淋巴结阴性的HER2阳性小肿瘤乳腺癌患者的复发率在5%到30%之间。曲妥珠单抗的问世极大的改善了HER2阳性乳腺癌患者的预后和生存。汉曲优作为国内首个上市的曲妥珠单抗生物类似药,疗效等同于原研曲妥珠单抗。本文通过一例HER2阳性乳腺癌使用汉曲优联合化疗药物进行治疗的病例,探讨了HER2阳性小肿瘤乳腺癌患者术后的治疗选择。(注:本文中汉曲优®为复宏汉霖研发生产的曲妥珠单抗)
 
病史简介
 
患者:女,58岁,50kg?
 
主诉:右侧乳腺癌术后7月余,靶向治疗9周期后半月余
 
婚育月经史:已婚,G1P1,已绝经
 
既往史:2021-07-14心电图提示有窦性心动过速,现未服药治疗,未诉心慌不适。2021-07-15颅脑CT提示有左侧额叶腔隙性脑梗死、脑萎缩,未处理。2021-7月诊断高脂血症,间断口服阿托伐他汀钙片10mgqd治疗。否认高血压病、糖尿病。否认药物过敏史,有毛桃过敏史。曾行剖宫产术,2009年因外伤致右踝骨折,保守治疗。有膀胱炎病史,有膀胱手术病史,具体不详。否认肝炎结核新冠病史。
 
家族史:否认肿瘤家族史
 
查体:ECOG评分1分,浅表淋巴结未触及肿大,右侧乳腺切除术后改变,右侧胸壁可及手术疤痕,愈合可。双肺呼吸音清,未闻及干湿啰音;心率106次/分,律齐,未闻及病理性杂音;腹平软,无压痛、反跳痛肌紧张,肝脾肋下未及,肠鸣音正常。右上肢及双下肢稍水肿。
 
▌影像学检查:
 
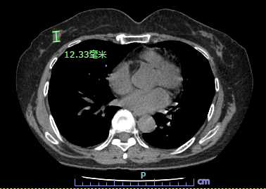
2021-7-14胸部CT:右侧乳腺区见大小约1.4cmX0.8cmX1.9cm结节影。
 
??图1.胸部CT
 
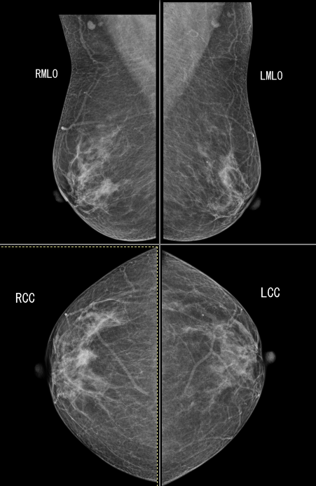
2021-7-14乳腺钼靶:右乳中央区略偏下见一约13.4mmx14mm稍高密度结节,形态欠光整,边缘见毛刺影。考虑BI-RADS4c类。
 
??图2.乳腺钼靶
 
▌肿瘤基本病理:
 
术后常规病检示:(右)乳腺浸润性导管癌(最大面积约1.7×1.4cm,WHOⅢ级),局灶见导管原位癌图像,周边淋巴组织增生;免疫组化结果显示:Calponin(-),P63(-),Gata-3(+),ER(3+),PR(0),HER2(3+),Ki-67(Li:+40%),P120(膜+),E-Cadherin(+);(右乳房)上、下、内、外和基底切缘未查见癌组织,乳头和皮肤未查见癌组织;余乳腺呈腺病改变,局灶导管上皮增生,未查见明显癌组织;腋窝淋巴结17枚未查见癌组织。
 
诊断:右侧乳腺癌术后化疗后(pT1cN0M0Ⅰ期ER阳性HER2阳性)
 
▌术后治疗经过:
 
2021-07-16在我院甲乳外科行“右侧乳腺癌改良根治术”。
 
2021-08-09行第1周期TC方案化疗(多西他赛100mg d1+环磷酰胺800mg d1,q21d)。
 
2021-09-01行第2周期TC方案化疗(同前)联合首次曲妥珠单抗(汉曲优)400mg靶向治疗。
 
2021-09-22、2121-10-14行第3、4周期TC方案化疗(同前)联合曲妥珠单抗(汉曲优)300mg靶向治疗。2021-11-06行第4次曲妥珠单抗(汉曲优)300mg靶向治疗,2021-11-07开始口服来曲唑片2.5mg/次1次/日内分泌治疗,2021-11-26、2021-12-18、2022-1-9、2022-1-30、2022-2-22分别行第5、第6、第7、第8、第9次曲妥珠单抗(汉曲优)300mg靶向治疗。
 
治疗后评价:未见肿瘤复发转移征象。
 
后续治疗方案:继续完成靶向治疗1年的疗程,继续口服来曲唑内分泌治疗至5年。
 
病例小结
 
有研究显示HER2阳性T1abN0M0患者5年复发转移风险是HER2阴性患者的5倍以上,提示HER2阳性、淋巴结阴性的小肿瘤患者,相比HER2阴性的小肿瘤仍有较高的复发风险。对于这类患者,在曲妥珠单抗的基础上,可以进一步减少化疗。有研究1显示早期乳腺癌患者使用TC+H治疗,2年DFS和2年OS率高达97.8%和99.2%。APT研究2目前是唯一针对HER2阳性乳腺小肿瘤的前瞻性非随机单臂研究,提示HER2阳性小肿瘤(≤3cm)患者使用wTH方案,其3年无侵袭性疾病生存率可达98.7%,无复发生存率达到99.2%。根据CSCO乳腺癌诊疗指南3,对于腋结阴性,肿瘤≤2cm,TCH也是作为Ⅰ级推荐,wTH作为Ⅱ级推荐。因此对于T1N0,HER2阳性的低危患者,可选择TC+H或者wTH方案。该例患者为早期乳腺癌,分期pT1cN0M0,故选择TC+H方案,定期复查。
 
专家点评
 
HER2阳性乳腺癌侵袭性最强、结局最差,自曲妥珠单抗应用于临床后,显著改善了HER2阳性乳腺癌患者的预后结局。四大经典的辅助临床研究(HERA、NSABP B-31、NCCTG N9831、BCIRG006)的结果,奠定了曲妥珠单抗在HER2阳性乳腺癌治疗中的基石地位。曲妥珠单抗的靶向治疗也成为了HER2阳性乳腺癌患者的标准治疗方案4-5
 
然而HER2阳性淋巴结阴性乳腺癌小肿瘤(T1),本身预后已经比较好的前提下,靶向治疗是否同样也能带来生存获益?2015年发表于《临床肿瘤学杂志》(JCO)的一项来自于随机对照临床试验数据的荟萃分析,纳入HERA、NCCTG-N9831、NSABP-B31、PACS-04、FinHER这5项大型临床试验中HER2阳性、肿瘤大小≤2cm的患者共4221例,分析了患者接受曲妥珠单抗靶向治疗的获益。其中HR阳性患者有2263例,接受靶向治疗后8年的累计DFS事件较对照组显著改善(8年DFS率为24.3%对17.3%,P<0.001),OS事件也有明显获益(8年OS率为11.6%对7.8%,P=0.005)。此外,APT研究入组了406例肿瘤<3cm、淋巴结阴性的乳腺癌患者,所有患者均接受12周单周紫杉醇方案化疗,同时应用单周曲妥珠单抗靶向治疗直至1年,结果显示不管T1a、T1b还是T1c的患者中,都表现了很好的生存结果,这个研究也为临床实践提供了一个治疗选择参考。同时,对于HER2阳性乳腺癌的术后辅助治疗,国内外指南都做了比较详细的分层,对于腋窝淋巴结阴性且肿瘤大小≤2cm的患者,化疗联合曲妥珠单抗作为首要推荐。NCCN指南里也是推荐pT1N0的患者采用辅助化疗联合曲妥珠单抗的方案。因此,对于本文中该患者pT1cN0M0,处于临床Ⅰ期,使用单靶曲妥珠单抗作为抗HER2治疗,是合理的选择。
 
生物类似药是指在质量、安全性和有效性方面与已获准注册的参照药具有相似性的治疗用生物制品6。汉曲优®作为国内首个中欧同步上市的曲妥珠单抗生物类似药,其临床Ⅲ期临床研究结果显示,汉曲优®与原研曲妥珠单抗疗效等效,安全性、免疫原性相似7。目前曲妥珠单抗生物类似药也得到NCCN指南、ESMO指南的推荐。本案例中患者术后辅助阶段使用单靶汉曲优进行标准的抗HER2治疗,未出现肿瘤复发转移征象且未出现不良反应,这个结果再次证明生物类似药与原研产品疗效等同,医生可以放心替代使用。
 
参考文献:
 
1.Jones SE,Collea R,et al.Adjuvant docetaxel and cyclophosphamide plus trastuzumab in patients with HER2-amplified early stage breast cancer:a single-group,open-label,phase 2 study.Lancet Oncol.2013 Oct;14(11):1121-1128.
 
2.Hudis CA,Krop IE,et al.Seven-Year Follow-Up Analysis of Adjuvant Paclitaxel and Trastuzumab Trial for Node-Negative,Human Epidermal Growth Factor Receptor 2-Positive Breast Cancer.J Clin Oncol.2019 Aug 1;37(22):1868-1875.
 
3.2022版中国临床肿瘤学会(CSCO)乳腺癌诊疗指南
 
4.Cameron D,Piccart-Gebhart M J,Gelber R D,et al.11 years’follow-up of trastuzumab after adjuvant chemotherapy in HER2-positive early breast cancer:final analysis of the HERceptin Adjuvant(HERA)trial[J].Lancet,2017,389(10075):1195-1205.
 
5.Perez E A,Suman V J,Davidson N E,et al.Sequential Versus Concurrent Trastuzumab in Adjuvant Chemotherapy for Breast Cancer[J].2011,29(34):4491-4497.
 
6.生物类似药研发与评价技术指导原则(试行)
 
7.Efficacy,Safety,and Immunogenicity of HLX02 Compared with Reference Trastuzumab in Patients with Recurrent or Metastatic HER2-Positive Breast Cancer:A Randomized Phase III Equivalence Trial[J].2021.
 
病例作者简介
 
 
程敏医生
 
武汉市普仁医院肿瘤科主治医师
 
郑州大学肿瘤学硕士
 
擅长结直肠癌、乳腺癌、肺癌、肝癌等常见肿瘤的综合治疗,及晚期肿瘤营养支持治疗、癌痛姑息治疗等。
 
病例点评专家简介
 
 
刘春萍教授
 
主任医师,教授
 
华中科技大学附属协和医院乳腺甲状腺外科副主任
 
中国医师协会外科分会甲状腺专业委员会委员
 
中国研究性医院甲状腺疾病专业委员会委员
 
中国研究性医院甲状腺疾病专业委员会甲状腺保护学组常委
 
中国研究性医院甲状腺疾病专业委员会甲状腺手术学组常委
 
中国医药教育协会乳腺疾病专业委员会委员
 
湖北省抗癌协会乳腺专业委员会委员

本内容仅供医学专业人士参考


乳腺癌

分享到: 更多