当前位置:肿瘤瞭望>资讯>正文

优例共赏丨一例HER2阳性局部晚期乳腺癌新辅助治疗的病例分享

作者:肿瘤瞭望   日期:2022/12/31 16:24:22  浏览量:9208

肿瘤瞭望版权所有,谢绝任何形式转载,侵犯版权者必予法律追究。

乳腺癌目前已成为全球最常见的癌症,其中HER2阳性乳腺癌约占15%~20%。HER2阳性乳腺癌具有侵袭性强、复发率高、预后不良等特点。

▌病例作者:陈宏亮复旦大学附属妇产科医院
▌点评专家:陶中华复旦大学附属肿瘤医院
 
摘要:乳腺癌目前已成为全球最常见的癌症,其中HER2阳性乳腺癌约占15%~20%。HER2阳性乳腺癌具有侵袭性强、复发率高、预后不良等特点。曲妥珠单抗的问世极大的改善了这部分患者的预后和生存。汉曲优®作为国内首个上市的曲妥珠单抗生物类似药,疗效等同于原研曲妥珠单抗。本文通过一例HER2阳性乳腺癌使用汉曲优联合帕妥珠单抗进行新辅助治疗,术后病理达到pCR的病例,探讨了HER2阳性乳腺癌患者新辅助治疗的疗效以及安全性观察。(注:本文中汉曲优为复宏汉霖研发生产的曲妥珠单抗)
 
病史简介
 
患者:女性,49岁。
 
主诉:发现左乳肿块1月就诊。
 
婚育月经史:已婚已育,已绝经。
 
既往史:伴高血压病史6年余。
 
家族史:否认肿瘤家族史。
 
查体:双乳不对称,左乳明显增大,左乳上方可触及较大肿块,约9~10cm,几乎占据左侧乳房上部,质地偏硬,活动度差,边界不清,左乳头轻度凹陷、无溢液,双侧腋下及锁骨上区域未触及明显肿大淋巴结。乳房皮肤无粘连、凹陷、红肿、溃疡、结节等表现。
 
▌影像学检查
 
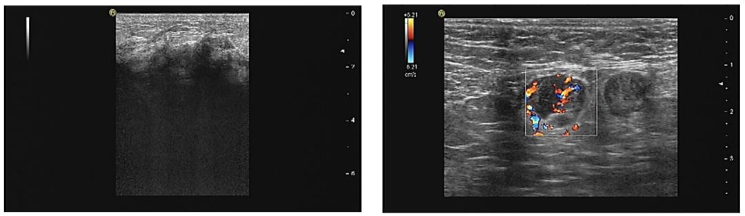
乳腺彩超提示左乳上方及外侧软组织水肿明显,上方10-3点距乳头2cm探及低回声,大小无法测量,深34 mm,形态不规则,边界不清晰,边缘毛刺,内部回声不均匀,后方回声衰减,后方胸大肌显示不清晰,彩色血流条状,RI 0.57。左侧腋下探及多个椭圆形中低回声区,大者约15*12 mm,边界尚清晰,淋巴门结构不清晰,彩色血流条状。BI-RADS 4B(图1)。
 
图1.乳腺彩超(左:乳腺;右:腋窝淋巴结)
 
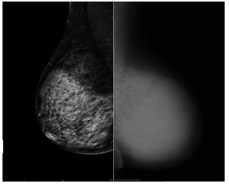
钼靶提示左乳弥漫性增高密度影,边界不清,恶性可能。双腋下未见肿大的淋巴结。BI-RADS 5(图2)。
 
图2.钼靶(左乳弥漫性增高密度影)
 
胸部CT平扫提示两肺部纹理清晰,未见确切异常密度影。纵隔内未见确切淋巴结肿大。双侧胸膜未见明显增厚,双侧胸腔未见积液。左乳明显增大,腺体弥漫性致密,左腋下见多发肿大淋巴结影,短径约1.3cm(图3)。
 
图3.胸部CT平扫
 
乳腺增强MRI提示左乳皮肤及乳晕增厚,乳头略凹陷,皮下腺体结构紊乱。左乳较右侧明显增大。左乳可见巨大肿块影,大小约12.3cm×6.7cm,T1WI呈等信号,T2WI呈稍高信号,局部DWI呈高信号,ADC减低,增强后明显不均匀强化,时间信号曲线呈平台型。左腋下可见多枚淋巴结影,最大者约2.1cm×1.4cm,BI-RADS 5(图4)。
 
图4.乳腺增强MRI
 
腹部彩超:肝胆脾胰未见异常;心超:心脏功能正常,LVEF:62%;建议PET-CT(患者拒),行骨扫描提示全身骨显像示颅骨放射性分布轻度异常浓聚,建议随访。
 
▌肿瘤基本病理
 
活检:行左乳肿块空芯针穿刺,病理提示(左侧乳腺肿块穿刺标本)浸润性癌。
 
▌肿瘤分子病理
 
免疫组化:ER(-),PR(-),HER2(3+),Ki-67(+,70%);FISH:HER2基因扩增。
 
▌诊断
 
左乳浸润性乳腺癌,cT3N1M0,Ⅲa期;HER2+型。
 
治疗经过
 
新辅助治疗:TCbHP方案6个周期。具体方案:白蛋白紫杉醇260mg/m2d1+卡铂AUC6 d1+曲妥珠单抗(汉曲优)6mg/kg(首剂8mg/kg)d1+帕妥珠单抗420mg(首剂840mg)d1,均q3w。每2个周期结合临床体检、彩超和乳腺增强MRI进行疗效评估。
 
▌治疗后评价
 
 
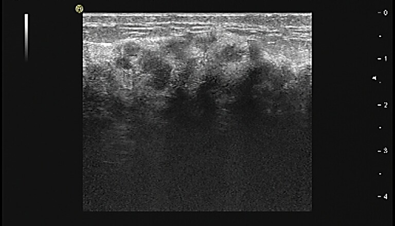
图5.新辅助治疗2周期后的乳腺彩超评估
 
图6新辅助治疗6周期后的乳腺彩超评估
 
图7.新辅助治疗2周期后的乳腺增强MRI评估
 
图8.新辅助治疗6周期后的乳腺增强MRI评估
 
患者自第3周期新辅助治疗起,正处于3~6月间上海新冠疫情封控时期,对影像学评估造成了较大的影响。根据ESMO新冠期间乳腺癌诊治临床处理优先原则,对于HER2+乳腺癌的新辅助/辅助治疗作为优先实施治疗,而对于新辅助治疗临床缓解的患者的影像学评估可以适当延后。因此,对于该患者4个周期后的影像学评估没有实施。
 
患者在完成6周期新辅助治疗后,由于出现中度血小板降低、Ⅱ度粒缺,给予对症支持治疗、推迟根治性手术,3周后继续完成1个周期的HP双靶治疗(汉曲优6mg/kg+帕妥珠单抗420mg)。整个新辅助治疗期间复查心超LVEF>62%。
 
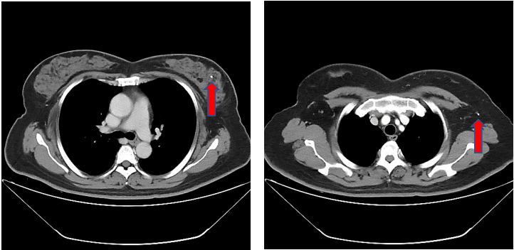
新辅助治疗6周期后再次CT评估,提示两肺未见明显异常密度影。纵隔内未见确切肿大淋巴结。双乳腺体致密,左乳局部可见点状高密度影,未见确切异常强化灶;双侧腋窝未见明显肿大淋巴结(图9)。
 
图9.新辅助治疗6周期后胸部CT平扫(箭头处提示金属clip位置)
 
临床疗效评估为PR。
 
▌后续治疗方案
 
患者在完成第7次双靶治疗后2周接受左乳癌改良根治术,术后病理提示(左侧乳腺改良根治标本,新辅助化疗后)瘤床定位标记周围乳腺组织胶原化伴大量淋巴细胞浸润,呈化疗后改变,未见癌残留。Miller-Payne(MP)分级系统:5级。皮肤、乳头、基底切缘未见癌累及。腋窝淋巴结0/15枚,均未见癌转移,均无化疗后反应。病理评估疗效为pCR。
 
患者后续完成HP双靶治疗(汉曲优6mg/kg+帕妥珠单抗420mg)满一年以及辅助放疗,定期随访。
 
▌病例小结
 
该例患者是局部晚期,乳房肿块较大,腋窝淋巴结多枚转移可能的HER2阳性浸润性癌。因患者肿瘤负荷大,不良预后因素多,根据2022 CSCO乳腺癌诊疗指南,新辅助治疗适应证:1.肿块较大;2.腋窝淋巴结转移;3.HER2阳性。因此采取了新辅助治疗的策略。关于新辅助方案的选择,KRISTINE研究证明TCbHP方案在新辅助治疗中的有效性和安全性,TRAIN-2研究显示与含葱环方案相比,TCbHP方案可以获得相同的pCR率,但在中性粒细胞减少等毒性反应上明显更低。因此,针对此例HER2阳性乳腺癌,从患者的自身特点出发,结合指南我们选择了TCbHP方案。经过6周期的TCbHP治疗后,临床体检患者从最初的9~10cm肿块缩小至3cm左右质硬区域,左侧腋下未触及明显肿大淋巴结。患者成功降期并实施了改良根治术,术后病理达到pCR。说明汉曲优疗效等同于原研曲妥珠单抗,安全性相似,可以放心使用。根据新辅助治疗后HER2阳性患者疗效达pCR,因此继续给予双靶维持治疗至一年以及辅助放疗。
 
专家点评
 
1、病例特点
 
该病例具有以下特点:1)绝经后女性,高血压病史多年;2)乳房肿块巨大,体格检查和MRI均显示达10cm以上;3)临床腋窝淋巴结多枚转移可能;4)病理为HER2阳性的浸润性癌,ki67 70%阳性。可以看出这是一例局部晚期,不可手术的乳腺癌,肿瘤负荷大,不良预后因素多。经过充分的影像学评估,排除远处转移,陈教授团队采取了新辅助治疗的策略,成功降期并实施了改良根治术,术后病理达到pCR。治疗过程规范,结果非常理想。整个诊疗过程体现了乳腺癌规范化治疗的基本原则和要求,体现了循证的价值。这再次提醒我们,遵守循证证据是保证患者能够获得良好效果先决条件。
 
2、新冠病毒流行期间,乳腺癌治疗的治疗统筹
 
更需要指出的是,该例患者的治疗,是在新冠疫情流行、封控状态下进行的,对于如何统筹疫情防控和恶性肿瘤治疗,治疗的优先级方面,给我们做了很好的示范。ESMO指导文件对包括HER2阳性、TNBC以及HR+/HER2-早期乳腺癌的新辅助/辅助治疗,给出了最高的优先级。尤其对于已经感染Omicron变异株且患有乳腺癌的患者,复旦大学附属肿瘤医院胡夕春教授团队在系统复习了国内外文献的基础上,对乳腺癌治疗的优先级给出了指导性建议:根据患者疾病状态,可将这部分患者治疗的优先级别分为以下三个类别:优先级A:患者病情危及生命,临床不稳定;优先级B:患者病情不严重,但延迟治疗超过6~8周可能会影响总生存期;优先级C:患者病情稳定,可以在COVID-19大流行期间延期治疗。在具体药物选择及方案制定方面,建议优选内分泌治疗或口服化疗药物,次选静脉化疗药物;优选3周方案,次选每2周或每周方案;优选单药治疗,次选联合药物治疗。虽然这些建议并非共识或指南,但是当前缺乏可靠临床证据的情况下,对于我们统筹疫情和乳腺癌治疗,具有重要的指导意义。
 
3、HER2阳性乳腺癌新辅助抗HER2治疗
 
上世纪80年代,HER2分子被发现在一类乳腺癌中高表达,随后研究证明该分子是乳腺癌的预后指标和疗效预测指标,并在1998年开启了恶性肿瘤靶向治疗的先河。近20年来,随着HER2靶向药物的迭代发展,HER2阳性乳腺癌的预后发生了大逆转,即使晚期HER2阳性乳腺癌,也走上了临床治愈的大道。抗HER2治疗药物也深度改变了乳腺癌的诊疗模式,其中之一就是新辅助治疗,通过新辅助治疗,我们可以将不可手术的局晚期乳腺癌,降期变为可手术的乳腺癌,从而为患者提供了一个根治性的机会。
 
对于HER2阳性乳腺癌,通过新辅助化疗联合抗HER2治疗,目前已可以促使60%~90%的患者获得病理学的完全缓解(pCR),肿瘤消失,为乳腺癌患者提供了更多的治愈性机会,甚至有机会在不损失治愈疗效的情况下,获得手术豁免的机会,保证了女性形体的完整,这无疑又是一个具有划时代意义的是进步。
 
关于新辅助方案的选择,NeoSphere、PEONY、TRAIN-2[1]、KRISTINE[2]等多个研究,奠定了曲帕双靶(曲妥珠单抗联合帕妥珠单抗)的优先治疗地位,虽然HER2小分子TKI靶向治疗药物包括拉帕替尼(NeoALTTO研究)、吡咯替尼(PHEDRA研究)联合大分子单抗,在一定程度上具有逆转大分子单抗耐药的作用,但是缺乏优于或不劣于HP双靶的肯定证据。因此,目前NCCN、CBCS及CSCO指南在HER2阳性乳腺癌新辅助治疗方案中的首选推荐为HP。
 
这例患者是一个巨大肿块的不可切除的肿瘤,通过抗曲妥珠单抗与帕妥珠单抗双靶向联合化疗的新辅助治疗,获得了病理学的完全缓解,再一次坚定我们对于大肿块HER2阳性乳腺癌新辅助治疗信心,也从临床实践中验证了HP双靶在新辅助中的卓越疗效和优先地位。
 
4、曲妥珠单抗生物类似药——异曲同工,安全便捷
 
曲妥珠单抗作为首个HER2靶向的大分子单抗药物,在HER2阳性乳腺癌的治疗中具有基石地位。罗氏的赫赛汀已经走过了二十四个春秋,虽然为HER2阳性乳腺癌带来了福音,但是高昂的价格、防腐剂杂质以及曾经的技术讹诈,也给国人带来诸多困苦。作为她的“孪生品”汉曲优,与其具有相同的一级机构、免疫原性、高度一致的临床疗效和安全性[3],同时获得了国内和欧洲的批准上市,关键的是汉曲优不含防腐剂,更加安全。针对国人体重的双规格,使其在临床使用过程中,更加灵活便捷,避免余液保存所带来的困扰及医疗资源的浪费。
 
从2021版开始,《CSCO乳腺癌诊疗指南》、《CSCO胃癌诊疗指南》以及《中国抗癌协会乳腺癌诊治指南与规范》先后将汉曲优作为曲妥珠单抗生物类似药纳入相关推荐用药,与赫赛汀具有相同的适应症。在陈教授所带来的病例中,TCBHP方案采用的曲妥珠单抗即为汉曲优,超过10cm的临床大肿块,6周期即达到pCR,同时未发现LVEF的异常改变,再一次证明汉曲优与赫赛汀具有异曲同工之妙,同时双规格剂型,临床使用更加便捷。
 
▌参考文献
 
[1]HURVITZ SA,MARTIN M,JUNG KH,et al.Neoadjuvant trastuzumab emtansine and pertuzumab in human epidermal growth factor receptor 2-positive breast cancer:three-year outcomes from the phase III KRISTINE Study[J].J Clin Oncol,2019,37(25):2206-2216.
 
[2]VAN RAMSHORST MS,VAN DER VOORT A,VAN WERKHOVEN ED,et al.Neoadjuvant che-motherapy with or without anthracyclines in the presence of dual HER2 blockade for HER2-positive breast cancer(TRAIN-2):a multicentre,open-label,randomised,phase 3 trial[J].Lancet Oncol,2018.19(12):1630-1640.
 
[3]XU B,ZHANG Q,SUN T,et al.Efficacy,Safety,and Immunogenicity of HLX02 Compared with Reference Trastuzumab in Patients with Recurrent or Metastatic HER2-Positive Breast Cancer:A Randomized Phase III Equivalence Trial[J].BioDrugs,2021.
 
病例作者简介
陈宏亮
复旦大学附属妇产科医院乳腺外科
博士,副主任医师,硕士研究生导师
上海市抗癌协会乳腺癌专业委员会青年委员
中国临床肿瘤协会(CSCO)青年委员
中国妇幼保健协会乳腺保健专业委员会委员
上海市中西医结合学会甲乳外科专业委员会委员
上海市中西医结合学会乳腺病专业委员会委员
上海市妇幼保健协会乳腺病防治专业委员会委员
长江学术带乳腺联盟(YBCSG)委员
 
点评专家简介
陶中华
复旦大学附属肿瘤医院,乳腺泌尿肿瘤内科,副主任医师
中国研究型医院学会乳腺癌专委会委员
长江学术带乳腺癌联盟委员
上海市抗癌协会乳腺癌专业委员会青年委员
上海市化疗质控中心专家组成员
主持国家自然科学基金项目1项、吴阶平基金1项
国家“新药创制”科技重大专项技术骨干
发表文章10余篇,收录于J Exp Med、Biochim Biophys Acta Rev Cancer、Cell Death Dis、Front Oncol等杂志
授权国家发明专利2项,申请1项
Frontiers in Oncology杂志编辑

本内容仅供医学专业人士参考


乳腺癌

分享到: 更多