当前位置:肿瘤瞭望>资讯>正文

CT发现间质性肺异常,ILA和ILD傻傻分不清楚?来看Fleischner学会意见书

作者:肿瘤瞭望   日期:2021/1/4 11:21:32  浏览量:10341

肿瘤瞭望版权所有,谢绝任何形式转载,侵犯版权者必予法律追究。

如何鉴别ILA和ILD?如果存在ILA,对癌症方案制定有何影响?

最近,临床医生开始注意到,先前存在间质性肺病(ILD)或间质性肺异常(ILA)癌症患者中,分子靶向、免疫治疗药物相关性肺炎(drug-related pneumonitis, DRP)的发生率增加。那么,对于CT偶然发现间质性肺异常,如何鉴别ILA和ILD?如果存在ILA,对癌症方案制定有何影响?Hiroto Hatabu和David C. Christiani撰文,介绍了Fleischner学会意见书对ILAs的定义和分类。

 

什么是ILA?
 
ILA是指在临床上没有怀疑间质性肺病(ILD)的患者中存在潜在的特异性CT表现。ILA是老年人群肺部CT的常见特征,4%~9%吸烟者和2%~7%的非吸烟者会出现ILAs。2-7 ILA与放射学进展、死亡率增加以及化疗和手术等医疗干预并发症的风险相关。1
 
Panel 1介绍了Fleischner立场文件提出的ILA定义和三个分类(见文末部分)。ILA定义为“偶然发现非依赖性异常,包括磨玻璃或网状异常、肺结构变形、牵拉性支气管扩张、蜂窝状改变、非肺气肿性囊肿,其累及至少5%的肺区,且未怀疑ILD患者。”“ILAs可细分为非胸膜下ILAs、胸膜下非纤维性ILAs和胸膜下纤维性ILAs(图1)。
 
图1. ILA分类
 
识别胸膜下纤维性ILAs很重要,这种类型的ILAs更容易进展,并与死亡率增高相关。治疗ILAs,需要区别具有临床显著症状的 ILD和亚临床ILAs。Fleischner学会提出了一种ILA患者的随访方案(图2)。
 
图2. ILA患者的随访方案

ILA在哪种情况变成ILD?
 
ILA完全由特定CT检查结果定义,而ILD的定义基于临床症状、肺功能检测、CT,有时通过组织学检查以及多学科讨论和共识(图2)。具有以下特征的 ILA怀疑是ILD:
 
呼吸道症状或体格检查结果可归因于ILD
 
CT检查提示广泛性病变,表现为三个或更多的肺区出现明显异常
 
肺功能或气体交换减弱,可能是ILD所致
 
这三个标准中,两个标准依赖于CT检查结果之外的临床医生评估。临床上定义ILD是由临床医生在疑难病例中进行额外的多学科讨论,而ILA仅仅是由CT表现决定的。
 
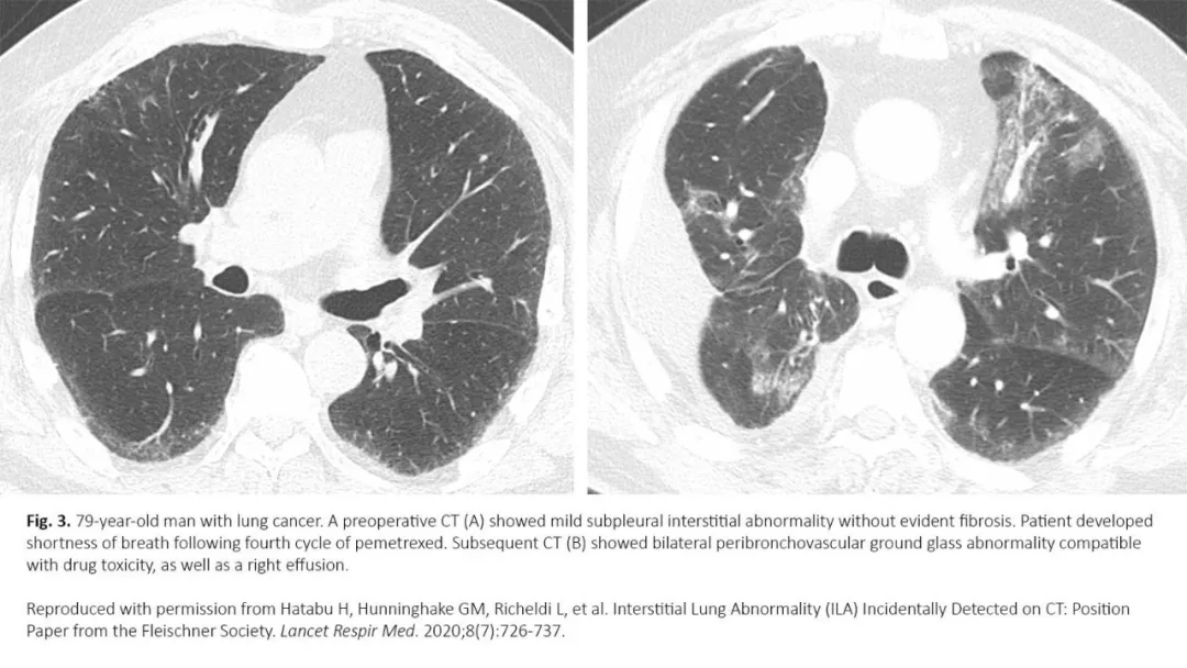
图3. 一位79岁肺癌患者化疗后肺间质异常

ILD/ILA与分子靶向治疗/免疫治疗
 
肺癌患者的ILA有两个方面需要考虑。首先,如前所述,大多数ILA会在肺癌筛查过程中被发现;第二个方面是ILA与肺癌治疗毒性和肺癌死亡率有关系。
 
最近的研究表明,治疗前存在ILA与癌症相关死亡率之间存在关联,包括接受手术切除的早期肺癌患者,以及晚期、IV期疾病和系统损伤患者。8-12观察到有ILA患者的癌症死亡率增加,其实际原因尚不清楚,但研究表明,与ILA和癌症治疗相关的肺损伤可能是重要原因。事实上,肺部放疗、化疗、TKI、免疫检查点抑制剂、抗体-药物偶联物等系统治疗使得ILA患者发生肺炎的风险增加(图3)。
 
对于接受立体定向放疗的早期非小细胞肺癌和至少50-60 Gy胸部放疗的小细胞肺癌,治疗前存在的ILA可增加放射性肺炎的风险。13,14考虑到肺癌危及生命,免疫检查点抑制剂的副作用和获益,以及ILA的未知风险,临床医生需要与ILA病人讨论可能增加的肺炎风险。此外,对接受以上治疗的ILA患者,采用胸部CT和肺功能检查密切监测,以及早发现药物相关性肺炎进展的迹象。15-17临床制定肺癌治疗方案时,ILA是“评估治疗方式获益和风险的考量因素”,但不是“是否采取某种治疗方式”的决定性因素。

结论
 
在肺癌筛查项目中,ILA基线患病率具有重要意义。有必要明确ILA的标准和评估疾病程度的定量方法,未来进一步开展ILA流行病学以及基于生物标志物的机器学习研究,以及在新的队列中进行研究以确定ILA进展风险较高的人群,并阐明ILA可能对癌症管理的影响。对于肺癌患者,临床医生应将ILA视为一种共病,在安排治疗技术和监测时必须加以考虑。
 
为了更多地了解ILA,读者可阅读Fleischner学会意见书。以下介绍Fleischne学会意见书对于ILAs的定义和标准术语。
 
Panel 1. 间质性肺异常的定义和ILAs分类

哪种情况是肺间质异常(ILAs)?
 
◆ 偶然发现的非依赖性异常,包括磨玻璃或网状异常、肺结构变形、牵拉性支气管扩张、蜂窝状改变和非肺气肿性囊肿
 
◆ 涉及至少5%的肺区(上、中、下肺区以主动脉弓下和右下肺静脉水平分界)
 
◆ 未怀疑有间质性肺病(ILD)的个体
 
哪种情况不是ILAs?
 
影像学发现仅限于:
 
◆ 依赖性肺不张
 
◆ 与胸椎骨赘密切接触的椎旁局灶性纤维化
 
◆ 吸烟相关的小叶中心结节,无其他表现
 
◆ 轻度局灶性或单侧异常
 
◆ 间质性水肿(如心力衰竭)
 
◆ 吸气结果(片状磨玻璃,树芽征)
 
临床前和临床鉴别:
 
◆ 筛查高危人群(如类风湿关节炎、硬皮病、职业暴露、家族性间质性肺病)时发现的临床前间质异常
 
◆ 临床已诊断为间质性肺病的患者
 
ILAs分类系统
 
◆ 非胸膜下:ILAs无明显胸膜下定位
 
◆ 胸膜下非纤维化:ILAs主要局限于胸膜下,无纤维化迹象*
 
◆ 胸膜下纤维化:ILAs主要位于胸膜下,且有肺纤维化迹象*
 
* 纤维化的特征是结构扭曲伴牵拉性支气管扩张或蜂窝状改变(或两者皆有)。
 
参考文献
1.Hatabu H, Hunninghake GM, Richeldi L, et al. Interstitial Lung Abnormality (ILA) Incidentally Detected on CT: Position Paper from the Fleischner Society. Lancet Respir Med. 2020;8(7):726-737.
2.Hatabu H, Hunninghake GM, Lynch DA. Interstitial Lung Abnormality: Recognition and Perspectives. Radiology. 2019;291(1):1-3.
3.Washko GR, Hunninghake GM, Fernandez IE, et al. Lung volumes and emphysema in smokers with interstitial lung abnormalities. N Engl J Med. 2011;364(10):897-906.
4.Hunninghake GM, Hatabu H, Okajima Y, et al. MUC5B promoter polymorphism and interstitial lung abnormalities. N Engl J Med. 2013;368(23):2192-2200.
5.Jin GY, Lynch D, Chawla A, et al. Interstitial lung abnormalities in a CT lung cancer screening population: prevalence and progression rate. Radiology. 2013;268(2):563-571.
6.Araki T, Putman RK, Hatabu H, et al. Development and Progression of Interstitial Lung Abnormalities in the Framingham Heart Study. Am J Respir Crit Care Med. 2016;194(12):1514-1522.
7.Putman RK, Hatabu H, Araki T, et al. Association Between Interstitial Lung Abnormalities and All-Cause Mortality. JAMA. 2016;315(7):672-681.
8.Nishino M, Cardarella S, Dahlberg SE, et al. Interstitial lung abnormalities in treatment-nave advanced non-small-cell lung cancer patients are associated with shorter survival. Eur J Radiol. 2015;84(5):998-1004.
9.Im Y, Park HY, Shin S, et al. Prevalence of and risk factors for pulmonary complications after curative resection in otherwise healthy elderly patients with early stage lung cancer. Respir Res. 2019;20(1):136.
10.Iwasawa T, Okudela K, Takemura T, et al. Computer-aided quantification of pulmonary fibrosis in patients with lung cancer: relationship to disease-free survival. Radiology. 2019; 292(2):489-498.
11.Araki T, Dahlberg SE, Hida T, et al. Interstitial lung abnormality in stage IV non-small cell lung cancer: a validation study for the association with poor clinical outcome. Eur J Radiol Open. 2019;6:128-131.
12.Hida T, Hata A, Lu J, et al. Interstitial Lung Abnormalities in patients with stage I non-small cell lung cancer are associated with shorter overall survival: The Boston Lung Cancer Study. Cancer Imaging (In press).
13.Yamaguchi S, Ohguri T, Ide S, et al. Stereotactic body radiotherapy for lung tumors in patients with subclinical interstitial lung disease: the potential risk of extensive radiation pneumonitis. Lung Cancer. 2013;82(2):260-265.
14.Li F, Zhou Z, Wu A, et al. Preexisting radiological interstitial lung abnormalities are a risk factor for severe radiation pneumonitis in patients with small-cell lung cancer after thoracic radiation therapy. Radiat Oncol. 2018;13(1):82.
15.Brahmer JR, Lacchetti C, Schneider BJ, et al. Management of immune-related adverse events in patients treated with immune checkpoint inhibitor therapy: American Society of Clinical Oncology clinical practice guideline. J Clin Oncol. 2018;36(17):1714-1768.
16.Puzanov I, Diab A, Abdallah K, et al. Managing toxicities associated with immune checkpoint inhibitors: consensus recommendations from the Society for Immunotherapy of Cancer (SITC) Toxicity Management Working Group. J Immunother Cancer. 2017;5(1):95.
17.Nakanishi Y, Masuda T, Yamaguchi K, et al. Pre-existing interstitial lung abnormalities are risk factors for immune checkpoint inhibitor-induced interstitial lung disease in non-small cell lung cancer. Respir Investig. 2019;57(5):451-459.

本内容仅供医学专业人士参考


肺癌

分享到: 更多